大阪市福島区・野田阪神の総合歯科
06-6448-4188
初めて来院される方へ
当院について
診療科目
症例紹介
医院案内
ブログ&コラム
お知らせ
料金表
24時間受付OK
初診専用ネット予約
かきうち歯科矯正歯科
矯正歯科専門サイト
症例紹介
case
ホーム
>
症例紹介
全て
MTM(プチ矯正)
インプラント
むし歯治療
審美歯科
小児歯科
矯正歯科
MTM(プチ矯正)審美歯科
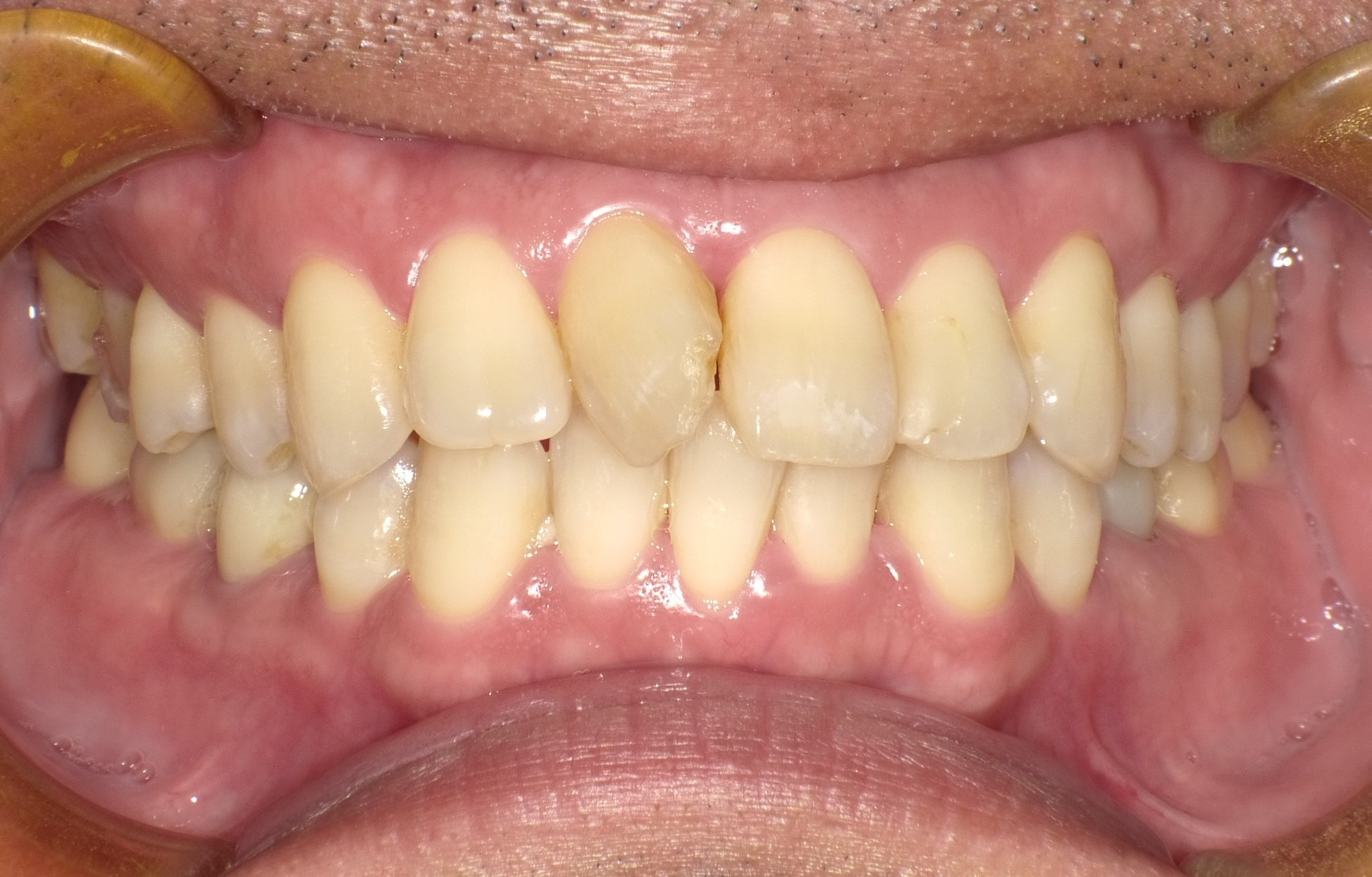
歯の破折により保存不可の歯を、挺出して保存した審美症例
審美歯科
前歯のねじれをセラミック矯正にて治した一例
インプラント
サイナスリフトで骨を造成してインプラントを行った一例
インプラント
奥歯2本欠損にインプラントを行った症例
インプラント
奥歯中間歯にインプラント治療を行った症例
小児歯科
5歳の女の子の乳前歯のレジン修復
審美歯科
上下4前歯のe-max
審美歯科
昔から歯の色の悪さを気にされていた方のラミネートべニア修復
審美歯科
被せ物の際の黒ずみをメタルボンドクラウンで改善した一例
小児歯科
コンポジットレジン修復
ページネーション
1
2
次のページ
電話でお問い合わせ
06-6448-4188
24時間受付
ネット予約