症例紹介
case

前歯のねじれをセラミック矯正にて治した一例

症例情報

症例名

上の前歯が斜めになっている

患者様のご希望

上の前歯の捻じれている歯を治したい

治療期間

1.5か月(全5回)

費用

143000+保険治療費

治療内容

・上顎右側中切歯の60°程度の捻転解消
・オールセラミッククラウンによる形態修正と咬合の確立

患者様の情報

年齢

40代

性別

男性

   

感想など

初めは歯を削らず、ワイヤーを用いた矯正治療にて治すことを提案しました。
その場合はスペースの獲得などの時間を合わせると、6か月程度はかかることを説明いたしました。
患者さんが短期間にて治療を終えたいとの希望でしたので、神経の処置を施した上での、セラミック矯正とすることとなりました。
仮歯にて形の希望を満たした状態としてから、オールセラミッククラウンにて仕上げました。

左右の形態を調和した上で、2か月とかからず治療が終わりましたので、大変喜んでいただくことができました。

治療に伴うリスク・副作用

・歯の切削の必要がある
・歯の状態によって神経を取る必要がある

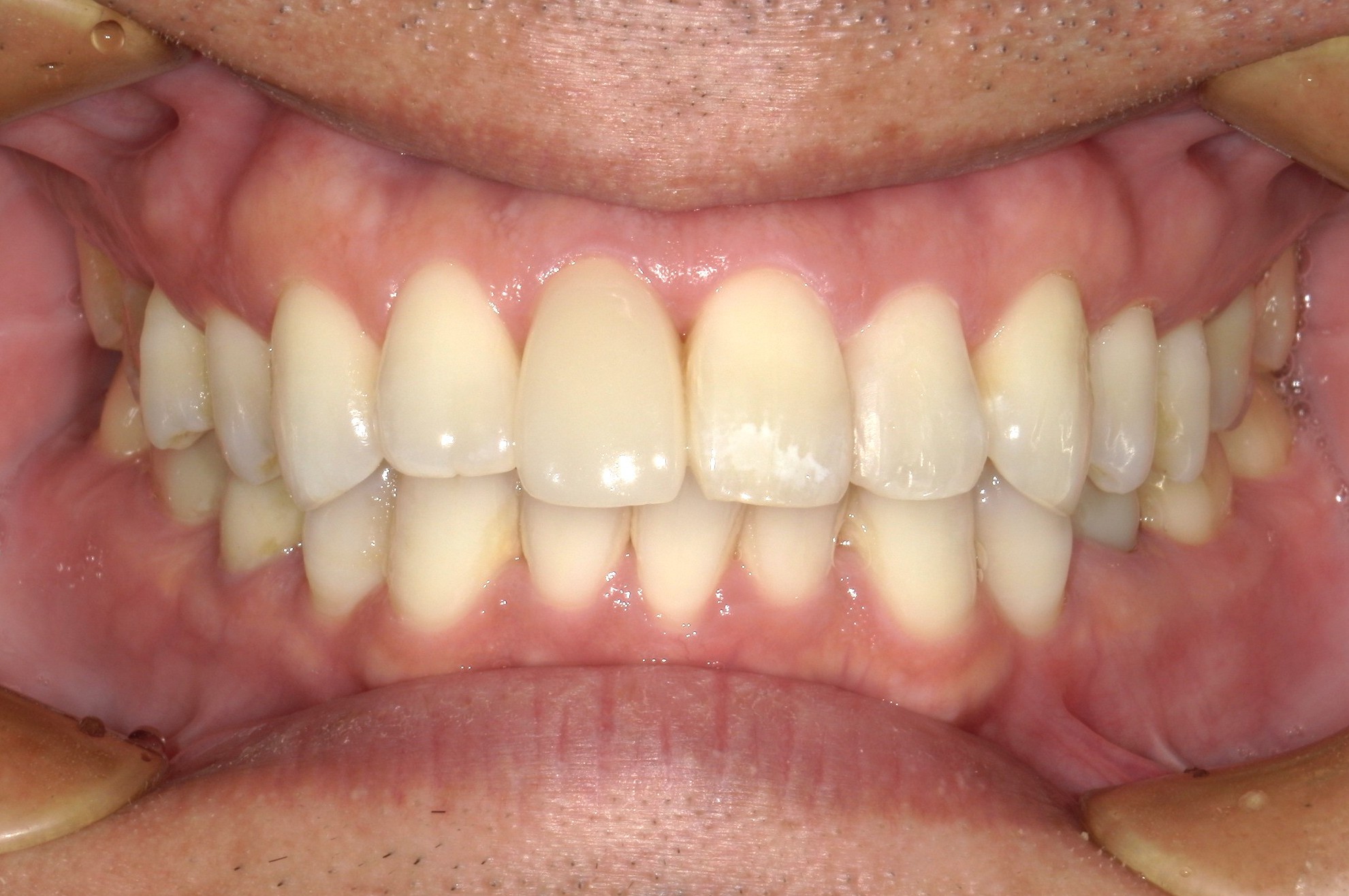
症例写真

口内正面

治療前

治療後

TEL

電話でお問い合わせ
06-6448-4188

24時間受付
ネット予約