「お口の中にできものが…これって大丈夫?」
こんにちは。
大阪市福島区、野田阪神の歯科医院、かきうち歯科矯正歯科です。
鏡でお口の中を見たときや歯科医院での検診の際に、
「歯ぐきの内側にふくらみのようなものがある」
「できもののようなものがある」
と気づいて不安になる方がいらっしゃいます。

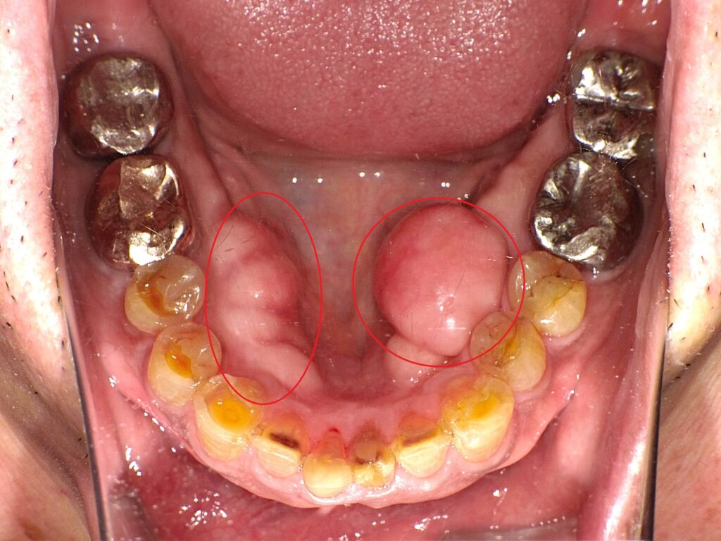
特に、下あごの内側に左右に大きなふくらみがある場合、
それは「骨隆起(こつりゅうき)」と呼ばれるものかもしれません。
骨隆起とは?
骨隆起とは、あごの骨が部分的に盛り上がってできる骨の出っ張りです。
多くの場合、下あごの内側(舌側)に左右対称に見られます。
上の写真のような下あごの骨隆起を特に下顎隆起といいます。
原因ははっきりとは分かっていませんが、
・噛む力が強い
・歯ぎしりや食いしばり
・骨格的な体質
などが関係していると考えられています。
骨隆起は腫瘍や病気ではなく、体の個性の一つのようなもので、
”指の関節の節が太い”といったようなものです。
多くの場合は痛みもなく、特別な治療も必要ありません。
そのため、
・痛みがない
・大きさが急に変わらない
・食事や会話に支障がない
といった場合には、基本的には経過観察で問題ないことがほとんどです。
ただし、入れ歯を作る際に当たってしまう場合や、大きくなりすぎて気になる場合には、外科的に削って形を整えることもあります。
また、お口の中のふくらみはすべてが骨隆起とは限りません。
まれに、
・良性腫瘍
・嚢胞
・炎症性の腫れ
など、別の病変である可能性もあります。
そのため、
「急に大きくなった」「痛みがある」「片側だけにある」などの場合は、
自己判断せず歯科医院で確認することが大切です。
お口の中は普段なかなか見る機会が少ないため、小さな変化でも不安になることがあります。
気になることがあれば、お気軽にご相談ください。
院長 垣内 優一
経歴
- 大阪市福島区出身
- 日本矯正歯科学会 認定医
- 日本口腔インプラント学会 専修医